Description
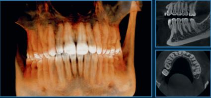
See What Others Can’t with the PreXion Excelsior Endo
Our flagship high resolution tomograph delivers cutting-edge image quality that allows you to visualize structures and nuances beyound traditional CBTC standards. Investing in the Excelsior Endo means offering your patients supeior diagnostics and setting your clinic apart as a leader in dental imaging.
Why choose the PreXion Excelsior Endo?
The powerful system components of the PreXion Excelsior Endo enable an extraordinary combination of the most precise 3D imaging, large image detail, lowest radiation exposure, reliable diagnostics and digital planning for all indications in modern dentistry, including periodontology, endodontics, implantology, orthodontics, maxillofacial surgery and more. Its patient management system is designed for secure and networked communication of patient data across multiple rooms within a practice and can be integrated into the existing infrastructure with ease.
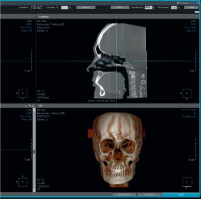
Software Features
With the precision and professional competence of PreXion, dental professionals have a powerful partner at their side.
Multi-data
Load multiple patient scans on a single screen. Synchronize pre- and post-operative scans and detect differences, slice-by-slice.
Patient Education and Presentation
Quickly capture 3D animated video clips for patient education, case acceptance and lecture presentations. Increase case acceptance through better patient understanding.
Collaborative Tools
Automatically save 3D image reports to MS Word template and attach to patient’s practice management record. Collaborate with referring dentists by burning a patient disc with sample viewer. Capture and email images quickly.
Remote Access
Work on cases from home or a satellite office without long connectivity delays. Lead virtual online treatment planning meetings remotely with PreXion3D.
Implant Library
Use our extensive library or customize your own.
Save Scenes
Save your case workup as a scene or create multiple saved scenes with a single scan.
3D Templates
Save time with over 20 pre-made 3D volume rendering templates or customize your own.
Slab and Cutting
Slab Feature allows the clinician to see inside structures while rotating the 3D image. Cut away structures to see exactly what is pertinent to your study.

16 YEARS OF EXPERIENCE

CLEAREST IMAGES

CLINICAL ADVISORY BOARD

DISTRIBUTING PARTNERS

CUSTOMER SUPPORT
Field of View
5x5cm
9x6cm
9x9cm
14x9cm
3D Algorithms: Enhancing Your Work-Flow Efficiency and Diagnostic Accuracy
UHD Mode for Endodontics
PreXion Evolve has a resolution with isotropic Voxel of 75µm to 400µm.
Patient Motion Correction (PMC)
The PreXion Evolve algorithm automatically corrects the image imperfections caused by patient micro-movements. This ensures high exam quality, avoiding repetitions and offering greater accuracy for making diagnoses.
Metal Artefact Reduction (MAR)
The PreXion Evolve line features three processing levels that can be chosen to correct gutta-percha deformities, implants and/or full arch prosthesis and metal restorations, in addition to automatic metal reduction. This tool also allows image reprocessing, for a better diagnosis, preventing the need to generate new exposure to the patient.




